当院の矯正治療例
受け口(噛み合わせ(上下の歯の重なり)が反対)
出っ歯(上顎前突-じょうがくぜんとつ)
乱杭歯(らんくいば)
埋伏歯(まいふくし-歯が生まれつき埋もれている)
成人(大人)になってからの矯正治療
現在では、多くの人が大人になってから歯並びを治しています。子供と比べると、治療の制限はありますが、技術の進歩により矯正治療がかつてに比べてより快適に行えます。
子供の時に機会を逸した方でも治療を十分にお考えいただくことができます。
矯正治療の良い点は、歯を削らず、生きたままの状態で治療ができることです。
歯を削ってかぶせもので治すことに比べて、矯正治療はやや時間はかかりますが、長い目で見ると歯にとっては非常に意味のあることだといえるでしょう。
このような成人の方に
- 「歯並びはキレイにしたいけれど目立つ矯正装置は嫌だ・・・」
- 「人に知られずに歯並びを治したい・・・」
- 「できるだけ早く治療を終わらせたい・・・」
- 「痛くないようにして欲しい・・・」
当クリニックではこのようなご要望にお応えできる矯正治療を行なっております。
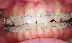
マルチブラケット法(一般的なワイヤー矯正)
マルチブラケット法は1本1本の歯の表面に体に害のない歯科専用の接着材で装着されたブラケットという矯正装置とワイヤーを使った矯正治療のことです。一般的な矯正治療といえます。
尚、当院では、患者様のご希望に応じて、金属による矯正装置と目立たないセラミックによる矯正装置を用いております。
併用治療↓
部分矯正(プチ矯正治療)
部分矯正とは、動かす歯を1~2本に限定して、部分的に矯正治療を行う方法です。いうなればプチ矯正です。
具体的には、「前歯のすき間が気になる」「歯並びが少しデコボコしている」など、部分的に気になる所だけを治します。
通常の矯正では多数の歯を動かすため、治療には最低でも2~3年以上の歳月を必要とします。しかし部分矯正では、半年程度で満足いく結果が得らることもあります。
また、歯を抜く、削る、神経を取るというような「歯への侵襲」が最低限で済むという利点もあります。短期間で矯正をしたい…抜歯はしたくない…というあなたへお勧めの矯正治療法です。
関連治療↓
裏側矯正(舌側矯正-ぜっそくきょうせい)
従来の矯正治療のイメージは、笑うと矯正装置が目立つというものではないでしょうか?それにより矯正治療をためらわれる方もおられます。
そこで当院では、裏側矯正による矯正治療を行なっております。
舌側矯正とも呼ばれ、読んで字のごとく、歯の表側ではなく、裏側に矯正装置を取り付ける矯正治療法のことです。外からは装置が見えず、人の目を気にせずに治療が行えますので、普段よく人と接する仕事をされている方などにおすすめです。
裏側矯正のメリット
- 矯正装置が表から見えないので、歯列矯正をしていることが気付かれにくい
- 歯の表側の表面を傷めない
- 虫歯のリスクが低くなる(※1)
- 前歯を後退させる治療に向いている
(※1)歯の裏側は表に比べて唾液が豊富なため自浄作用が強く、同じ装置装着をした場合に、より虫歯になりにくい。
舌側矯正のデメリット
- 表側の装置と比べて舌に違和感を感じる場合がある(※2)
- 治療の当初に発音しにくい場合がある
(※2)違和感は一時的なものです。


